急性心肌梗死很可怕,我们所熟知的高秀敏、侯跃文、马季都因该病突然去世。去年初,年仅47岁的小马奔腾CEO亦死于心梗,令人惋惜。而到底什么是心肌梗死?应如何防治呢?
我写一篇心肌梗死的科普,辅以配图,帮助大家理解。
首先了解一下心脏结构
我们常把心脏比作一个“四居室”的房间,包括左、右心房和左、右心室。这些结构特征,在人体标本上肉眼可见。

您可以把这个四居室和我们的房间类比一下:冠状动脉可比作每个房间的水管系统,它负责供应血液给心肌,滋养心脏;心脏瓣膜是房和室之间的门,负责把每个腔室分开;心脏传导系统是电路系统,心肌就是墙壁。而上述四大系统出现相关的疾病,最常见的就是所谓“冠心病”、“瓣膜病”、“心律失常”和“心肌病”。
而本文跟大家分享的,就是水管系统的疾病----冠心病。
“水管系统”----冠状动脉,是负责心脏的血液供应,多种原因可导致冠脉腔内出现粥样硬化斑块,如同水管出现垃圾堆积一样。

您试想一下,新房子的水管,很少出现阻塞,而一些老房子就容易出问题,原因就是日积月累的使用。人体也是一样,也容易出现管腔狭窄,如果不及时干预,会导致水流不畅,就会出现临床称谓的“心绞痛”,而某些诱因致使斑块破裂,形成血栓并导致冠脉完全闭塞,如同水管完全堵塞后不能排水一样,则会导致心肌细胞缺血坏死,此时称之为“心肌梗死”。因心肌细胞的缺血耐受能力差,15分钟后就会开始坏死,而且不可逆,故此时如不能及早开通闭塞血管,会造成严重后果,甚至死亡。


心肌梗死有什么临床表现呢?
最常见的就是持续性胸痛、胸闷、气短,常伴大汗,重者可发生意识丧失、甚至猝死。有心绞痛病史的患者,胸痛往往可以通过含服“硝酸甘油”而缓解,一旦出现服药效果差、胸痛仍持续15-30分钟以上,应警惕心肌梗死的可能,必须立即医院就诊。心电图常可协助早期识别心肌梗死,一旦诊断为急性心肌梗死,需在医生指导下早期服药(如嚼服阿司匹林300mg),同时送往上级医院。需要根据发病时间、心梗类型、患者个体情况,制定进一步治疗策略,包括药物治疗、早期溶栓或介入治疗。对于大多数急性心肌梗死,急诊介入治疗是首选的办法。
如发生上述症状时,应该怎么做呢?---应重视俩个“120”
网络上曝出很多“妙招”,像什么快速深呼吸法、按压穴位等,有些奇怪的我都没有听说过。我个人建议,立即去附近大型医院急诊就诊,如我院设立的“急性心肌梗死紧急救治绿色通道”,为诊断心梗且需手术的患者,可随时迅速的实行急诊手术。如患者周围没有大型医院,可去社区医院,简单的心电图检查,就可以协助诊断大多数心肌梗死。一旦确诊,在医生的指导下,及早服用相关药物,如阿司匹林等。而很多患者未经医生指导,擅自反复含服“硝酸甘油”,可能会加重部分心梗类型患者的病情,如以低血压为表现的心梗。个人建议,任何疾病,患者擅自服药的做法都是不对的。
为了提高急性心肌梗死紧急救治水平,2014年,中华医学会和生命时报社联合打造了11月20日“心梗救治日”,利用视频形式和新媒体传播手段传递心梗救治的核心理念:胸痛胸闷速打120,抓紧黄金120分钟。
近年来我院心内科、导管室和急诊科共同建立的急性心肌梗死紧急救治绿色通道,为急性心肌梗死患者筑起心梗救治的防线。
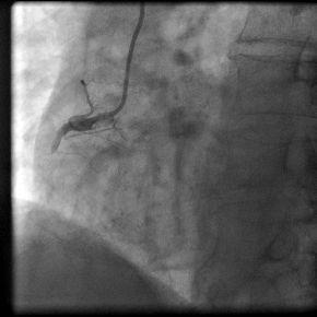
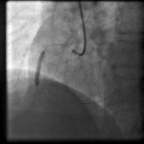
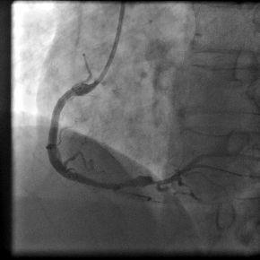
病例介绍:陈姓35岁青年男性,因“突发胸痛2小时”与凌晨1:00入我院急诊科,入院后即刻心电图提示急性下壁、后壁心肌梗死,认为应立即行急诊PCI术。立即给予足量阿斯匹林和波立维,启动急性心肌梗死救治绿色通道。导管室护士、技师、心内科医生在导管室等待,并且做好术前准备。在得到患者家属同意后,我们迅速带患者入导管室。急诊冠脉造影示:右冠状动脉近段完全闭塞,通过血栓抽吸,球囊扩张,开通闭塞血管,右冠近段成功植入药物涂层支架一枚,患者转危为安,整个过程用时28分钟。




怎样预防冠心病呢?
冠心病的基本病因是动脉粥样硬化,预防动脉粥样硬化就是预防冠心病。对于健康成年人来说,要保持正确健康的生活方式,这是重中之重,如低盐低脂饮食、戒烟、减肥、适量运动、保持健康的心理状态。在这里,必须还要重点强调一下,肥胖、吸烟、高盐高脂饮食、精神应激等显著增加心血管疾病的风险。一些慢性病,如高血压、糖尿病等能加速动脉硬化的进程,所以应有效控制血压、血糖,如已患病,一定要监测血压、血糖等指标,根据专科医生的指导服药。很多人认为,阿司匹林能软化血管、溶血栓,就早期“积极”服用阿司匹林,这种做法是不对的,因为并非所有人群都需要预防性使用阿司匹林。


总结下来,对冠心病的症状及治疗方面,王仲华主任有如下几点分享:
1. 以胸痛为表现的疾病很多,但如出现和劳累、活动相关的胸痛,您就要警惕是否患有冠心病了。
2. 心绞痛是冠心病的一种表现类型,心绞痛的疼痛,最常见于心前区、胸骨后,常以闷痛、胀痛、烧灼样疼痛为表现,但性质多样,定位也因人而异,高可至牙齿,低可至脐部。
3. 一些老年高龄、合并糖尿病的患者,心绞痛的症状常常不典型,如出现活动性胸闷、气短等表现,您要考虑到“心绞痛”。
4. 心绞痛往往可以通过休息、含服“硝酸甘油”后缓解,但如果胸痛持续时间较长仍不能缓解,要警惕心肌梗死的可能,应迅速就医。
5. 请不要盲目听从部分人的观点,仅仅通过一些不典型的症状和心电图,就定诊“冠心病”,但如果高度怀疑冠心病,应早期通过一些相关检查,除外冠心病的可能性,如冠脉影像学检查。
6. 一旦确诊为冠心病,就应系统服药,包括阿司匹林、他汀类降脂药物等,可耐受的前提下,需要终身服用。而目前流行市面的“XX滴丸、x参片等”并不需要服用;患者切忌听从药品销售者的“医嘱”,滥用药物。
7. 心脏支架介入手术并不可怕,急性心肌梗死时,有效的支架植入能有效减少死亡率,并改善生活质量。但,并非所有类型冠心病都需要支架治疗,这个适应症,就需要有经验的专科医生来把握和评估。
8. 郴州地区,不少医院已经具备了心脏介入技术,我院介入手术例数位于郴州地区之首,仅我心血管内科四病房,今年的PCI手术量已达600台(该数量已是其他医院的数量总和)。
因心梗机制复杂、分型多,本文只阐述最常见的类型,易于百姓了解,故很多解释未采用专业词汇。另外,以后也会跟大家分享冠心病的发病危险因素及治疗等方面的内容,敬请关注。